how long does bone cancer take to kill a dog

90 of dogs will die of this disease within one year if surgery is the only treatment attempted. While some pet parents discover a dogs cancer during a drastic decline in their health others may discover the issue during a routine exam of their happy pup.


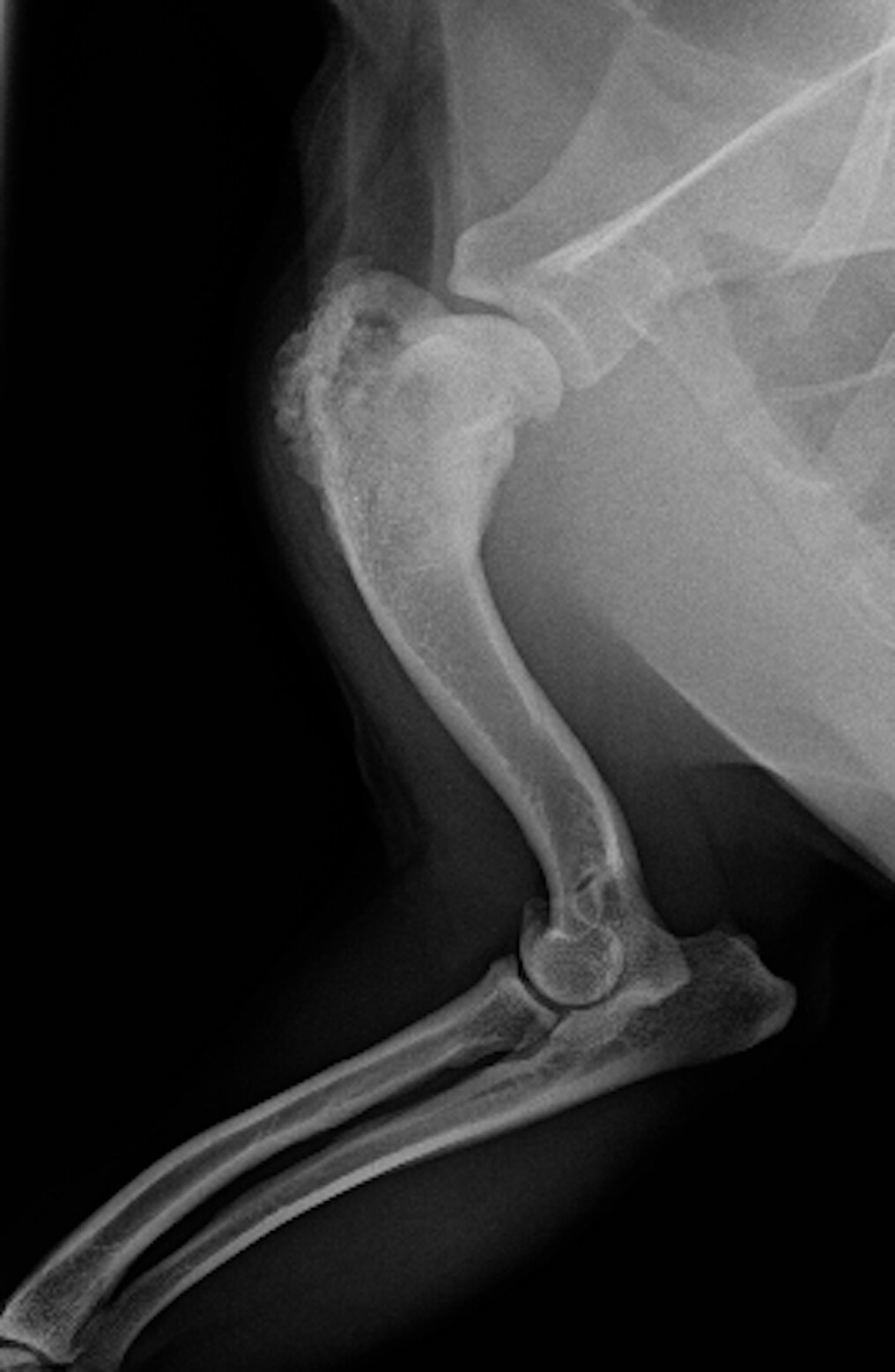
A Comprehensive Guide To Osteosarcoma In Dogs Tploinfo

2 dog owners are financially responsible for the damage their dogs bring about.

. Survival times of approximately 1 year or about 10 of a lifetime are achievable for 50 of dogs with osteosarcoma treated using the current standard of care 50 of cases and. With pets living longer than ever cancer has become a diagnosis that we see more commonly in older dogs. Ad Holistic Cancer Support For Dogs.

Generally without any treatment survival times for dog bone cancer are quite short just around 4 to 5 months while dogs undergoing amputation along with chemo have survival. Detoxifies After Chemo And Eases Tumor Pain. How quickly does bone cancer progress in dogs.

Most cases of canine osteosarcoma about 90 have undergone micrometastasis by the time they are diagnosed making this type of cancer difficult to cure. Lung cancer had the lowest 1-year survival rate after bone metastasis 10 percent. Morris animal foundation makes a stand against osteosarcoma.

This is because lymphoma is a rapidly progressing cancer. The average life expectancy of dogs with appendicular osteosarcoma that dont receive treatment is 2 to 4 months. Chemotherapy can help prolong.

However the prognosis remains poor with surgery alone. Some dogs will have a short span. Those dogs that receive a diagnosis of osteosarcoma in the ribs are typically four-and-a-half to five-and-a-half years old.

Cancer Immunotherapy - Veterinary Specialty Center. Responsible for 85 of all malignancies of a. This information was relayed to both owners including expected quality of life both with and without treatment.

With treatment survival time is about 12 months. Bone cancer in dogs also seems to happen either early or later in life. There are several environmental and genetic factors.

A dog that has been amputated and has had chemotherapy can expect to live. The prognosis is usually the same for. A large-scale 2017 study of the 10 most common cancers with bone metastasis found.

Dogs that had the affected limb amputated and then received chemotherapy are likely to have average survival times of around 1 year. How Long Will a Dog Live With Bone Cancer. You can tell your dog has processed and passed bone when you see a white chalky dry stool.

Vet formulated to support your pets complete body in the fight against cancer. However in comparison when on the more encompassing Madison Wisconsin Protocol 80 to 90 of dogs will typically go into full remission with no sign of cancer whatsoever anymore. Ad Help your pet fight cancer with NHVs most popular Cancer Pack.

In the axial skeleton the tumor does not grow rapidly as do the appendicular tumors thus leading to a more insidious course of disease. The exact survival time and overall prognosis for dogs with bone cancer depend on several factors such as tumor type. How long does bone cancer take to kill a dog.

The American Veterinary Medical Association AVMA reports that. According to scientists the average lifespan of those dogs is about 2 to 3. Only less than 10 percent of the affected dogs survived more than 4 months after diagnosis.


Bone Cancer In Dogs Aspca Pet Health Insurance


Understanding Osteosarcoma In Dogs Avim O


Osteosarcoma The National Canine Cancer Foundation


Osteosarcoma In Dogs Vca Animal Hospital


The Pet Oncologist Vet Oncologist Online Blog Radiation Therapy For Dogs With Bone Cancer


Bone Cancer In Dogs Aspca Pet Health Insurance


Learn About Osteosarcoma Bone Cancer In Dogs Petcure Oncology


Cancer Immunotherapy Veterinary Specialty Center


How Long Can A Dog Live After Being Diagnosed With Cancer Winston Salem Vet Veterinary Oncology


Signs Of Bone Cancer In Dogs How It S Treated Winston Salem Vet Veterinary Oncology


Bone Cancer In Dogs Innovet Pet


Learn About Osteosarcoma Bone Cancer In Dogs Petcure Oncology


Bone Cancer In Dogs Aspca Pet Health Insurance


Bone Cancer In Dogs Aspca Pet Health Insurance


Signs Symptoms Of Bone Cancer In Dogs Matthews Vet Carolina Veterinary Specialists


Delay Her Spay Heat Diaper Breeding Prevention Harness Review Giveaway Sponsored Little Dog Tips Canine Cancer Canine Health Dog In Heat


What Is The Right Time To Euthanize A Dog With Osteosarcoma Dog Leash Pro


What Is The Right Time To Euthanize A Dog With Osteosarcoma Dog Leash Pro


Are English Mastiffs Hypoallergenic English Mastiff Dog Allergies Mastiffs

Iklan Atas Artikel

Iklan Tengah Artikel 1